Door kijkoperaties zijn steeds minder vaak grote operaties nodig. Omdat de wonden bij een kijkoperatie kleiner zijn dan bij een normale operatie heeft u na de operatie minder pijn en ook minder pijnstilling nodig.

Normaal gesproken heeft een mens zes grote speekselklieren en ongeveer 300 tot 400 kleine speekselkliertjes. Samen zorgen deze speekselklieren voor de aanmaak van speeksel. Dit speeksel houdt de slijmvliezen vochtig en glad, zodat je goed kunt praten, eten en slikken.
Wanneer de werking van de speekselklieren verstoord raakt, kunnen er problemen ontstaan. Voorbeelden hiervan zijn:
Dit kan leiden tot klachten, zoals pijn of veranderde speekselproductie ( te veel of te weinig speeksel). Soms ontstaat er een zwelling in een speekselklier die weinig of geen klachten geeft, maar waarbij wel aanvullend onderzoek nodig is om de oorzaak te achterhalen.

De ziekte van SjoĢgren is een auto-immuun ziekte. Dat betekent dat het afweersysteem, door een stoornis, het eigen lichaam aanvalt.
Typische klachten bij deze ziekte zijn:
De reumatoloog is hoofdbehandelaar van deze aandoening. MKA Kennemer & Meer speelt in eerste instantie een rol bij de diagnose. Hiervoor wordt een klein stukje weefsel (biopt) uit een speekselklier afgenomen. Dit onderzoek gebeurt onder lokale verdoving en is doorgaans goed te verdragen. Als de diagnose is gesteld kan de kaakchirurg ook een rol spelen bij de behandeling van de droge mond klachten.

Een slijmcyste is een ophoping van speeksel onder het slijmvlies. Dit ontstaat wanneer het afvoerkanaaltje van een speekselklier beschadigd of afgesloten raakt. Het speeksel kan dan niet meer weg en verzamelt zich onder het slijmvlies.
Mogelijke oorzaken zijn:
De behandeling bestaat uit het verwijderen van de slijmcyste. Dit gebeurt meestal onder lokale verdoving en is een relatief kleine ingreep.

Een gezwel van de speekselklier (ook wel speekselkliertumor genoemd) komt niet vaak voor. In Nederland krijgen jaarlijks ongeveer 5 op de 100.000 mensen deze diagnose.
Speekselkliertumoren kunnen op elke leeftijd ontstaan. Ze komen niet in alle speekselklieren even vaak voor. Een gezwel kan kwaadaardig zijn, maar is gelukkig meestal goedaardig.
De behandeling bestaat meestal uit een operatieve verwijdering. Hoe de operatie wordt uitgevoerd, hangt af van de grootte en de plaats van het gezwel.
Als er een vermoeden bestaat dat het gaat om een kwaadaardig gezwel, wordt u doorverwezen naar een academisch ziekenhuis voor verdere behandeling en begeleiding.

Een ontsteking van een speekselklier kan ontstaan door kleine steentjes, slijmproppen of een vernauwing van een afvoerkanaaltje.
De behandeling kan plaatsvinden met een ākijkoperatieā (sialoendoscopie). Hierbij gaat de arts met een dunne camera in het afvoerkanaaltje om de oorzaak van de ontsteking te vinden en zo mogelijk direct te verhelpen.
Deze ingreep gebeurt onder narcose en laat geen zichtbare littekens achter.

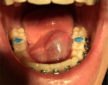
Een slijmcyste in de ondertongspeekselklier ontstaat meestal doordat het slijm van een speekselklier niet goed kan wegstromen. Dit kan komen door een beschadiging van het slijmvlies, een verstopping door een taaie slijmprop, of een klein speekselsteentje. Het speeksel hoopt zich daardoor op en vormt een bobbel onder het slijmvlies van de mondbodem.
Soms zakt deze bobbel door de spier van de mondbodem naar de hals. Dan ontstaat er een zwelling onder de kin of de onderkaak. Zo'n cyste wordt een āplungingā ranula genoemd.
Behandeling kan bestaan uit het aanbrengen van hechtingen, openmaken van de cyste of, in sommige gevallen, het verwijderen van de betrokken speekselklier.

Een speekselsteen is een kleine kalkafzetting in een speekselklier. Waarom deze stenen ontstaan, is nog niet bekend. Mannen krijgen er vaker last van dan vrouwen, en het heeft niets te maken met gal- of nierstenen.
Een speekselsteen kan zorgen voor een pijnlijke zwelling van de speekselklier, vooral voor of tijdens het eten. Door de verstopping kan de klier ook ontstoken raken.
De behandeling bestaat meestal uit het verwijderen van de steen. Soms is het echter nodig om de hele speekselklier te verwijderen, bijvoorbeeld als de klier steeds ontstoken raakt.
ā
ā


